Элайнеры для выравнивания зубов от передовой компании FLEXILIGNER

«ФлексиЛайнер» — это эффективное решение для исправления прикуса без брекетов. Отличие флексов от других элайнеров заключается в том, что они могут справиться даже в самых сложных клинических случаях: не только выровнять зубы, но и исправить тяжелые патологии прикуса. Наш многолетний опыт позволяет создавать красивые улыбки самым комфортным методом и получать максимально предсказуемый результат, которого ожидают наши пациенты.
Мы счастливы, что наша продукция помогает людям стать счастливее! Миллионы пациентов по всему миру оценили преимущества прозрачных кап. Элайнеры просты в использовании и незаметны для окружающих, благодаря чему их популярность растет с каждым годом.

Компания FlexiLigner предоставляет две линейки своей продукции:

– KidsLigner («ФЛЕКСИКИ») – для маленьких пациентов от 5 лет;

– Флексы для взрослых – возраст не ограничен.

Для врачей и пациентов сотрудничество с «ФлексиЛайнер» своего рода гарант того, что лечение под полным контролем опытных экспертов. Наши сотрудники всегда на связи как для врачей-стоматологов, так и для самих пациентов, проходящих лечение на флексах.

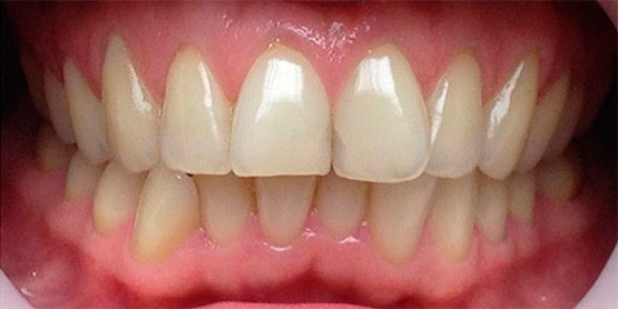
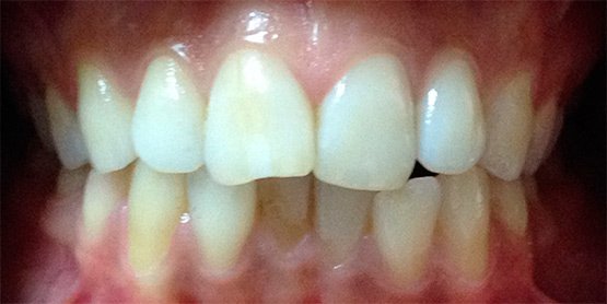
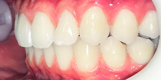
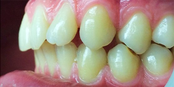
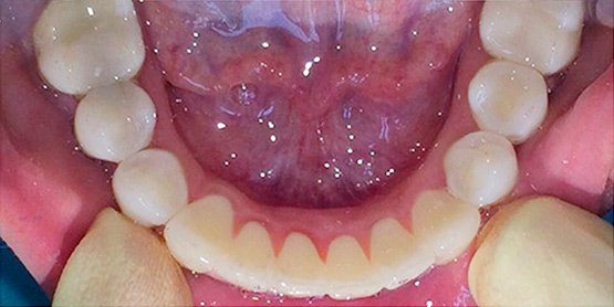
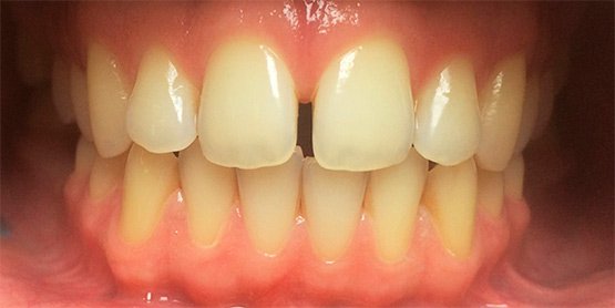
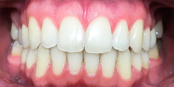
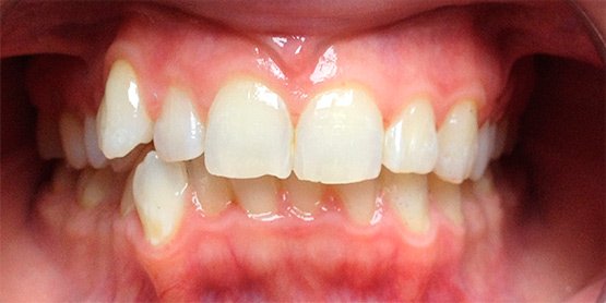
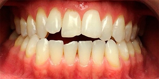
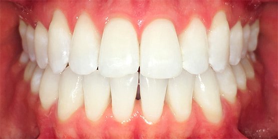
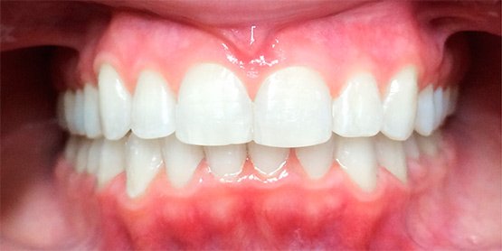
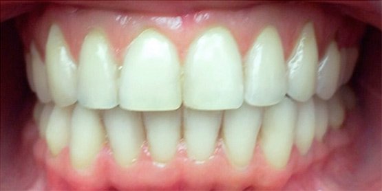
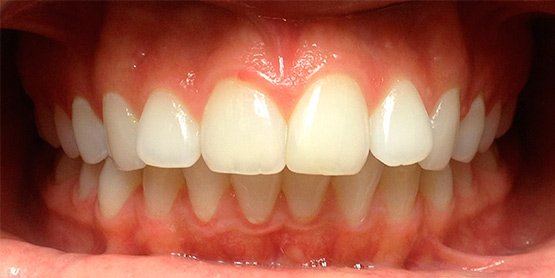
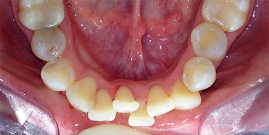
Фотографии наших пациентов до и после прохождения лечения элайнерами FlexiLigner

Какие дефекты лечит?​

Diastema diasystem2
spaces1 spaces2
close1 close2
close2_1 close2_2
close3_1 close3_2
crest1 crest2
distopia1 distopia2
rotation1 rotation2
FlexiLigner работает с многими российскими стоматологическими клиниками, предлагая им современные технологии для исправления прикуса. Главный вопрос, который задают пациенты, связан со стоимостью услуг.

Сколько стоит установить элайнеры?

Многие пациенты ошибочно считают, что технология выравнивания зубов элайнерами Flexiligner крайне дорогостоящая. Конечно, прозрачные капы для исправления прикуса не могут стоить дешевле, чем брекеты, так как элайнеры это инновационные системы, которые производятся из уникальных материалов.

Однозначно обозначить, сколько стоят съемные элайнеры, невозможно. Каждый случай индивидуален. В среднем для легких клинических случаев стоимость лечения обходится пациентам в сумму от 60 тыс. до 280 тыс. рублей. Чем сложнее клинический случай, тем дольше длится терапия, так как потребуется большее количество флексов.

От чего зависит цена комплекта кап?

Цена элайнеров для выравнивания зубов формируется из таких аспектов, как:
  • первичный осмотр и оценка ситуации;
  • создание панорамного снимка и фото протокола;
  • снятие слепков;
  • 3D-моделирование;
  • изготовление комплекта кап на весь курс лечения;
  • наклеивание аттачментов, использование эластичных тяг или минивинтов, если они нужны;
  • установка элайнеров;
  • регулярный контроль пациента.
 
Чтобы узнать точную цену, необходимо записаться на предварительную консультацию. Врач осмотрит пациента, оценит неровности прикуса и рассчитает, сколько пар кап потребуется для всего курса лечения.

Преимущества
ЭЛАЙНЕРОВ

БРЕКЕТЫ

ЭЛАЙНЕРЫ

Скачай брошюру совершенно бесплатно

Мы выражаем большую благодарность всем стоматологам и пациентам за доверие! С каждым днем экспертов по системе FlexiLigner и счастливых пациентов становится больше!

Для того, чтобы узнать больше о элайнерах FlexiLigner, вы можете скачать брошюру и изучить все особенности данного лечения.