О компании
О компании
О нас
Технологии
Разработки
Отзывы
Врачам
Врачам
Элайнеры в клинической практике
Продукция для ортодонтов
Расписание мероприятий
Учебный центр Flexiligner
Детская ортодонтия
ПРИМЕРЫ КЕЙСОВ
Войти в личный кабинет
Пациентам
Пациентам
Зачем нужны элайнеры?
Установка элайнеров
Выравнивание зубов элайнерами
Выбрать клинику и доктора
Советы пациентам
Вопрос — ответ
Детская ортодонтия
До и После
Мероприятия
Расписание мероприятий
Учебный центр Flexiligner
Завершенные мероприятия
Отчеты о мероприятиях
Блог
Блог
Отзывы врачей
Полезно знать
Технологии
Наши контакты
Личный кабинет
Звонки по России бесплатные
8 (800) 700-60-78
для врачей
8 (800) 555-90-56
для пациентов
Заказать обратный звонок
Удобный инструмент
для врачей
Apple
Android
Whatsapp
Telegram
Vk
Главная
»
До и после
»
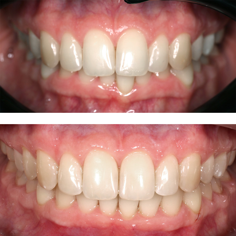
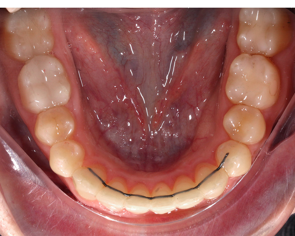
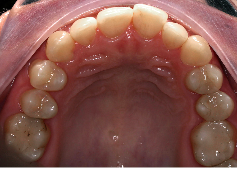
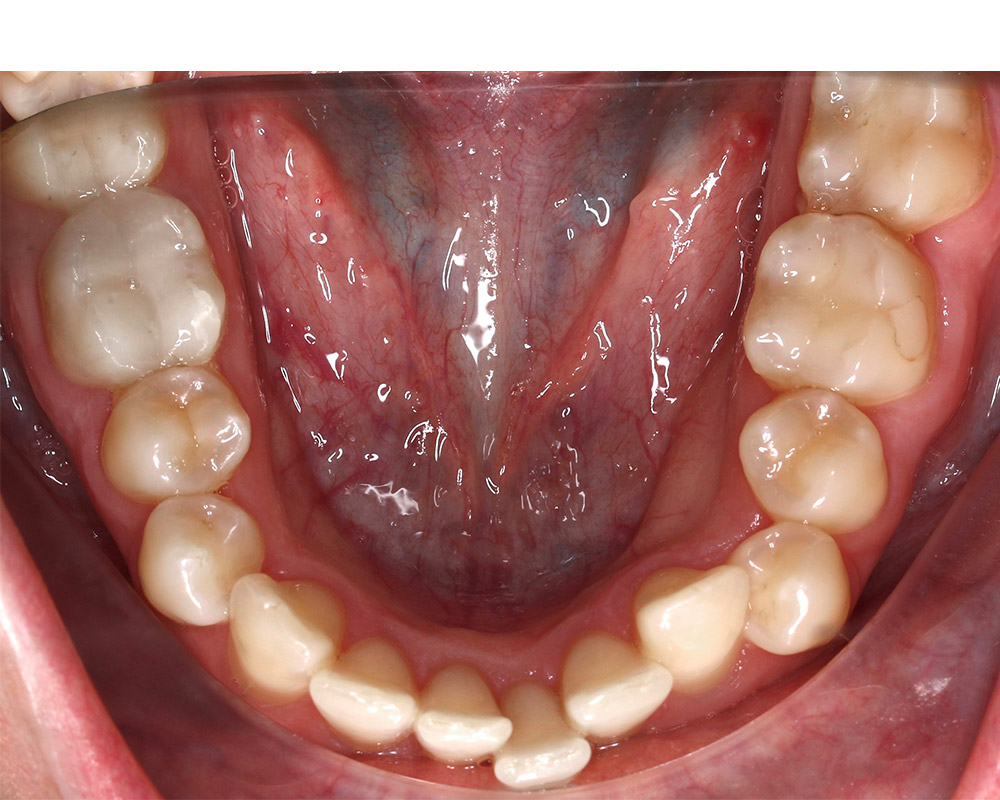
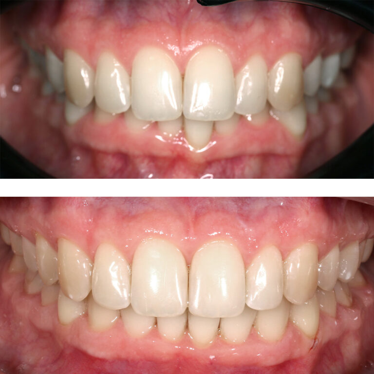
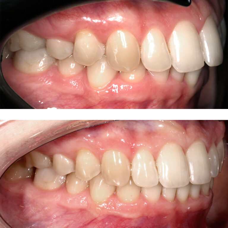
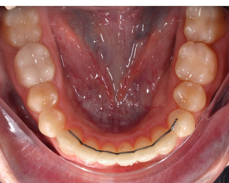
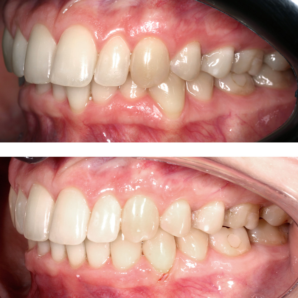
Кейс 13
Кейс 13
Булгач (Мочалова) Галина Игоревна
Количество кап ВЧ 19
Количество кап НЧ 24
Посмотреть OrthoCheck
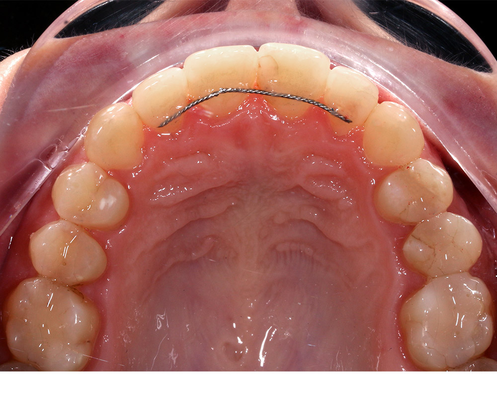
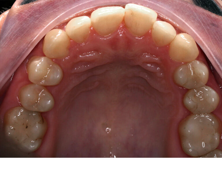
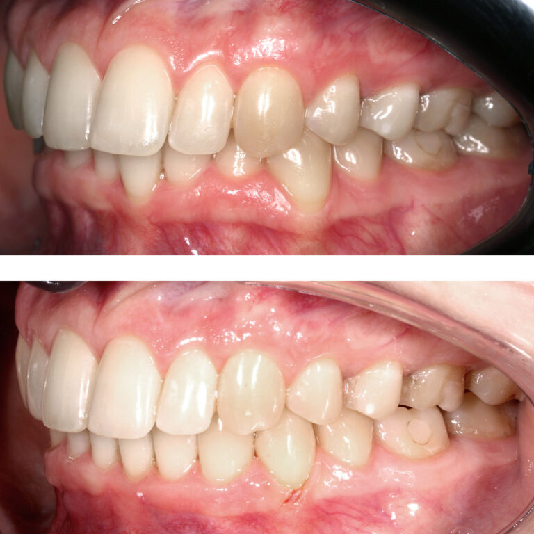
ДО
ПОСЛЕ
ДО
ПОСЛЕ
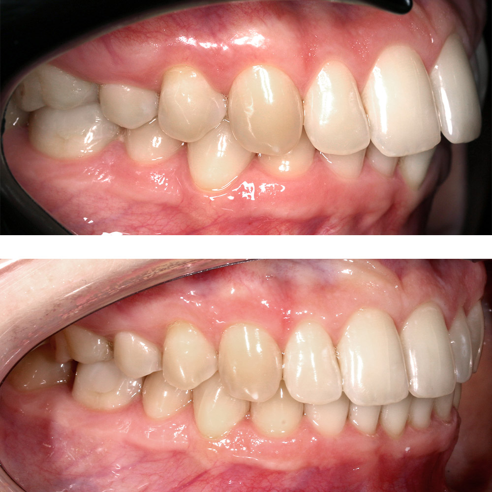
ДО
ПОСЛЕ
ДО
ПОСЛЕ
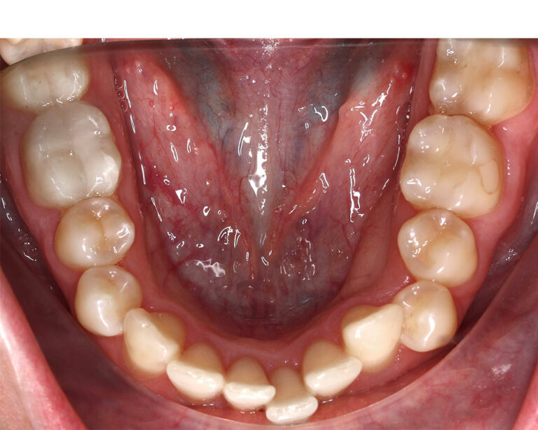
ДО
ПОСЛЕ
Пред
Предыдущий
Кейс 12
Следующий
Кейс 14
Следующая